幼儿|11月大幼儿喝奶后多次呕吐,送进医后竟被查出肿瘤
近日,中南大学湘雅医院神经外科团队紧急为一名不到1岁的室管膜瘤患儿实施了难度较大的显微手术全切。目前患儿已康复出院,脑积水明显好转,呕吐和不能独坐等症状均有缓解。

文章插图
10天前,11个月大的幼儿丁丁在喝完200ml牛奶后,突然开始呕吐。
妈妈刘女士以为是喂食不当引起的,并未重视。
但随后几天,丁丁仍每天呕吐2-3次,均为进食后呕吐。
刘女士带孩子到当地县医院进行了简单的护胃、补液治疗后,患儿的症状不但没有好转,反而呕吐得更加频繁,不愿意进食,甚至连独坐都困难,囟门张力也高。
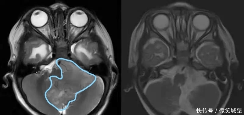
意识到情况严重的刘女士立即带丁丁到市医院做了头部CT,显示第四脑室占位性病变所致梗阻性脑积水,随后慕名来到中南大学湘雅医院。
经小儿神经外科主任赵杰教授评估后认为,患儿有明显颅高压症状,应该尽快手术,严重的可能会出现脑疝。

文章插图
【 幼儿|11月大幼儿喝奶后多次呕吐,送进医后竟被查出肿瘤】以赵杰主任为首的专家团队为丁丁实施了脑干肿物切除术+脑脊液瘘修补术,手术以枕后正中入路,立体定向导航系统定位肿瘤。
术中可见一个65*54*60mm肿瘤自四脑室正中孔突出,进入枕骨大孔以下,压迫延髓及颈髓。专家在切除肿瘤的同时,注意小心保护相关的神经和血管结构。
经过3个半小时的显微操作,手术将肿瘤全部切除。

文章插图
术中快速病检显示,肿瘤为室管膜瘤,这是一种起源于室管膜上皮细胞的神经上皮性肿瘤,好发于儿童和青年,约占儿童颅内肿瘤的6-10%,发病率居儿童颅内肿瘤的第三位。
其中约25-51%的发生于3岁以下的儿童中,严重危害儿童的健康。
目前,室管膜瘤的治疗标准为手术切除及术后放疗。
据相关报道,肿瘤全切患儿的生存率可达到66-80%,而次全切除的患儿的生存率仅有0-47%,所以手术全切显得尤为重要。
但是根据肿瘤生长的部位、方式、大小以及术者经验等因素,目前全切率并不高,约在42-66%之间。
“对于神经外科医生来说,儿童四脑室肿瘤一直是个挑战。且丁丁肿瘤巨大,除占据四脑室外,还通过侧孔包绕脑干生长,与重要的神经血管比如后组颅神经及椎动脉血管及其分支粘连紧密。术中稍有不慎,可能损伤脑干及小脑组织,甚至损伤脑干上发出的颅神经,全切通显得较为困难,这要求手术者有较高的显微操作技术及术中耐心的分离与技巧。”
赵杰主任表示,目前中南大学湘雅医院神外应用显微外科技术切除室管膜瘤全切率达88%,且死亡率、并发症发生率少。
赵杰主任建议,室管膜瘤的病程长短不一,首发症状多为头痛,常伴头晕、呕吐等,建议儿童肿瘤患者如出现视力减退、头痛头晕、行走不稳等情况要及时到正规大医院的儿童神经系统肿瘤诊疗中心就诊,以免耽误治疗。
(编辑zebra。)
湖南医聊特约作者:中南大学湘雅医院 肖小乔
关注@湖南医聊,获取更多健康科普资讯!
- 开端|《开端》结局是be了吗 《开端》大结局是什么
- 生下|谢依霖罕见晒与大女儿合照,深夜抱怨耻骨痛到厌世,母爱太伟大
- 家长|幼儿园不允许探视,爷爷想了一个办法,网友:好可爱的爷爷
- 惊!连续5年没有大年三十?好在,未来还可能过上两个春节,就在……
- 午餐|幼儿园老师发午餐照秒撤回,眼尖家长发现不妥,群里一下子沸腾了
- 婴幼儿该不该频繁理发的三个原因,宝妈能从中发现宝宝的健康情况
- 都说第一个出生的娃更聪明,那为啥有“老二聪明老大呆”的说法?
- 事情|儿子被人抱了一下,母亲就向幼儿园索赔8万,母亲:都可能会抑郁
- 因为|双胞胎一个被送去国际幼儿园,另一个上普通幼儿园,差距有多大?
- 家长|二胎“完美”年龄差是多少?避开大宝3个叛逆期,家庭幸福感更高
