家长|男童好奇误吞纽扣电池后送医,家长觉得没大碍直接抱回家
在小朋友看来
不懂都可以用“尝”来试试看~
他们不知道
自己的一拿、一放、一吞
可能会酿成大祸

文章插图
然而
小孩子不懂,家长就要教导
可无奈的是
有些爸妈在孩子出意外后
还自觉没啥大事
这一拖……那一拖……
没事都拖出事了
前不久
珠江香洲一个1岁多的男孩
因为好玩差点出大事

文章插图
↓↓↓
那天晚上
1岁多的涛涛吞了一颗纽扣电池
被家长送到医院
在检查后
医生跟家长建议孩子住院治疗
并马上做急诊取出电池
就在紧急关头
爸妈没有听取医生的建议
他们觉得以个人经验
孩子吞了纽扣电池,应该可以自行排出
不会出现其他并发症
所以
他们抱着孩子离开了医院

文章插图
结果第二天
涛涛的家长又带着孩子来就诊
而据孩子
在其他医院的检查结果显示
他的胃内的确有异物

文章插图
一番检查后
医生马上进行了全麻手术
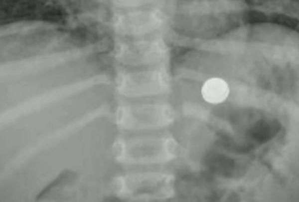
从孩子的胃里
拿出了一枚直径约1厘米的纽扣电池
而它也引发
孩子的胃部多发溃疡
“很庆幸的是,这颗电池在体内是一天,时间比较短;当时取的时候也比较顺利。”

文章插图
而说到涛涛误吞电池的原因
则是因为好奇
“纽扣电池是在玩具里的,孩子好奇就拿出来后以为是糖就吞了下去。”

文章插图
别看纽扣电池小小一个
但它种类繁多
有氧化银电池、锂电池、碱性锰电池等
如果不小心误吞的话
危害性非常大
另外
在体温体液的作用下
纽扣电池会发生短路、放电发热
引起局部黏膜损伤
严重时会引起食管穿孔
食管瘘、胃出血等并发症
可能造成生命危险

文章插图
戳视频看更多▼
电池这种东西
和纽扣、坚果、小物件还不一样
里面太多腐蚀性物质了

文章插图
DV君提醒大家
如果发生孩子不小心误吞异物的话
第一时间停止进食
带着孩子上医院请医生评估
确实需要及时取出的话
就不要自作主张
拒绝医生的治疗建议了……
否则孩子难受,做大人的也糟心
最后
家长们赶紧把小物件
收到孩子够不着的地方吧!
意外才能少发生
【 家长|男童好奇误吞纽扣电池后送医,家长觉得没大碍直接抱回家】来源:广东公共DV现场
- 孤独症孩子的11种常见问题行为(附加应对方法),家长速看
- 天使科普:这些表现是孩子智力低下的早期信号,家长可以注意了!
- 家长|幼儿园不允许探视,爷爷想了一个办法,网友:好可爱的爷爷
- 外科|3岁先心病男童免费“修心”
- 午餐|幼儿园老师发午餐照秒撤回,眼尖家长发现不妥,群里一下子沸腾了
- 家长|二胎“完美”年龄差是多少?避开大宝3个叛逆期,家庭幸福感更高
- 引发1万人留言的母女聊天记录,问题到底出在哪里?家长要重视
- 肌腱|妈妈深夜急哭!这个血的教训太惨痛,家长们千万要看住孩子
- 福建一幼儿园“火”了!所谓的营养餐:萝卜配白菜梆子,家长怒了
- 家长|布达佩斯多所幼儿园儿童被感染,被下令关闭
