孕囊|怀孕最怕前置胎盘,5个方法来预防
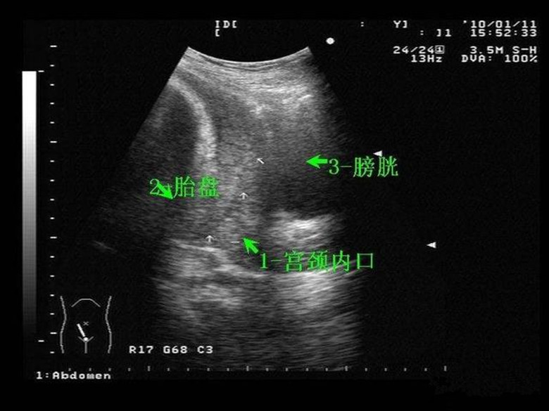
什么是前置胎盘呢?受精卵着床之后,先是出现孕囊,然后孕囊发育成为胎盘。所以,胎盘是很早就固定了。正常的胎盘,应该远离宫颈内口。胎盘种植在子宫前壁、后壁、侧壁或者宫底,这都是正常的情况。异常的情况是:如果胎盘的位置靠近宫颈内口小于2cm,或者胎盘有一部分或者全部覆盖到宫颈内口了,这就是比如麻烦的前置胎盘了。

文章插图
前置胎盘的原因是什么?1,主要原因:是多次妊娠,或者多次人工流产,从而导致子宫内膜太薄。子宫内膜太薄,血供就不足。怎么办呢?为了获得更的营养,胎盘就会扩大附着面积,或者主动向血供充足的地方靠近。而孕早期的子宫非常小,这样胎盘长着长着,就接近宫颈内口了。2,孕妇如果有宫腔炎症、瘢痕子宫或者有子宫肌瘤,这些地方都不利于胎盘发育,这样受精卵着床也会向子宫下段靠近,就成了前置胎盘了。

文章插图
孕妈有前置胎盘,怎么办呢?1,判断是否前置胎盘,以怀孕28周为界线。28周之前,前置胎盘不要紧,28周之后随着子宫下段延展,胎盘一般都会长上去。2,28周之后,如果经检查确诊为前置胎盘,那就要绝对卧床!禁止同房!并且还要注意预防胎盘早剥和出血。3,选择一家三甲医院提前备血,并在医生指导下补铁:补铁是为了避免失血过多,而铁元素能增加血液的含氧量,预防胎儿缺氧或窒息。4,请在医生指导下补锌:锌元素能增加胎盘的弹性,降低胎盘早剥风险,预防胎儿早产。5,备孕期间就要提前治疗宫腔炎症,如果头胎是剖宫产应该间隔2年以上。边缘性前置胎盘可以顺产,不过风险较大,建议孕妈还是提前做好剖宫产的准备。

文章插图
- 准妈妈们|怀孕后别忙着高兴,这件事要趁早做,不然以后生孩子医院都不接收
- 温度|冬季胎儿最怕的几件事千万别做
- 宫缩|怀孕28周很关键,产检时3个问题医生不提,产妇也要主动问
- 水肿|怀孕路上最辛苦的6个阶段,你熬到第几个了?
- 搬重物|怀孕后,有些动作可能“伤胎”,孕妈尽量不要做,胎儿:不喜欢
- 准妈妈|怀孕后,几件事孕妇最好不要干,要不然出生的婴儿可能有胎记
- 剖腹|孕妇怀孕8个月摔倒大出血,胎儿没有生命体征,剖腹却有意外收获
- 怀孕|怀孕后怎么计算预产期,宝宝出生提前一些好还是延后一些好?
- 千万不要情绪化备孕,不然等来的不是怀孕而是姨妈
- 怀孕|孕妇尽量别吃3种食物,会影响胎儿的发育,这2个地方最好少去
