医生|男孩天生无大脑,医生断言很难存活,他的父母却让奇迹出现了
先天性的残疾确实让人心痛,因为它不像后天性的,治疗纠正的概率很大!但随着如今的科技发达与医学发达,也能改善和治疗!
【 医生|男孩天生无大脑,医生断言很难存活,他的父母却让奇迹出现了】

文章插图
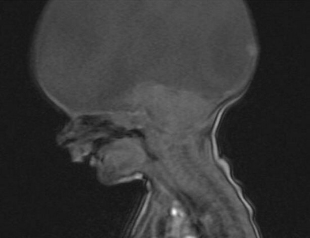
图片均来自网络男孩生下来就没有大脑,医生劝诫放弃,可男孩的父母却让事情发生了扭转!而他的父母也诠释了什么叫做“生命的坚强”!在荷兰,一对夫妇生下了一位天生无脑男孩,这样的噩耗确实给这对夫妇带来了承重的打击和心痛!

文章插图
男孩刚出生的时候,医院的医生就告诉夫妇俩,他们的孩子可能会活不了几天,但是,一个星期的时间过去了,男孩依旧存活的好好的!

文章插图
在男孩2岁的时候,夫妇俩发现男孩根本不能动也不能讲话,便将男孩带去医院检查!检查结果显示,男孩依旧还是无脑孩子,医生告诉夫妇俩,他们的儿子每日的存活是没有大脑意识的,就像是行尸走肉,医生劝解夫妇俩让男孩安乐死!

文章插图
夫妇俩依旧是拒绝了医生的提议,还是坚持一直照顾男孩,而最终,奇迹发生了,夫妇俩的儿子在他们的坚持下,他们的儿子开始玩耍,也开始讲话,打破了医生两度的预期!
- 飞鹤再推新品星飞帆卓睿 唤醒宝宝天生“三力”
- 女婴身上味道刺鼻,一天洗3次澡也没用,医生检查后说出了原因
- 打分|11岁男孩给父母打分,爸爸10分,妈妈0分,评价标准很“无奈”
- app|凌晨3点肚子痛,上午到医院挂号,医生惊讶:您可真沉得住气
- app|胎记是怎么来的?产科医生:孕期要避开3种行为,以免宝宝长胎记
- 婴儿对着母亲“微笑”,医生伸手就是一巴掌,了解原因后宝妈道谢
- 产检时医生说“少指”,孕妇坚持生下来,全家看到宝宝后又喜又愁
- 真相|孕妇肚子上插着一把剪刀,胎儿被迫取出,真相让医生很无语
- 宫缩|怀孕28周很关键,产检时3个问题医生不提,产妇也要主动问
- 小王子|成功顺产小王子!症状附上,喜欢男孩的孕妈来接走,都能如愿!
