食管裂孔疝|爸妈要好好照顾婴儿,不然有各种问题出现,看到最后一张图明白了

文章插图
宝宝是非常脆弱的群体,需要家长为其创造一个安全的环境,但是因为宝宝发育还不成熟,还不能顺利地表达出自己的想法,只能通过一些简单的肢体语言来表现自己,然而有些家长是初为人父人母,对照顾小孩子这方面并不是很有经验,所以有时候孩子的一些反应很容易被家长忽略,也正是由于家长的疏忽,很有可能将宝宝置于危险的境地!孩子经常吐奶,妈妈没在意,结果一检查妈妈被吓到了!我相信很多家长都遇到过孩子吐奶的状况,一般状况下确实没什么大问题,可能是宝宝喝的太急或者其他原因,对宝宝本身是没什么影响的,所以说吐奶在多数情况下是正常现象,但并不是绝对的,有时候则可能是宝宝身体出现状况的征兆。今天小编就给大家讲个例子。

文章插图
李女士今年幸福地当上了母亲,在给孩子喂奶的时候,发现孩子有吐奶的情况,这种情况出现了几次,但是一开始李女士并没有在意,以为是宝宝刚吃奶不合肚,过几天就好了。然而孩子吐奶的现象却越来越严重,有时候甚至将胆汁都吐出来了!李女士意识到事情的严重性,赶紧带着孩子去了医院。

文章插图
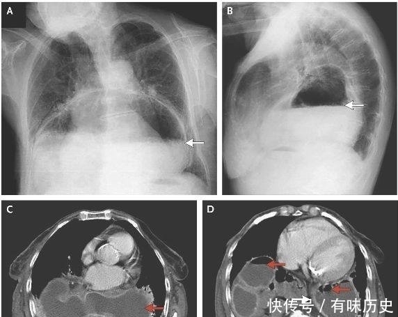
可是检查结果却把李女士给吓到了!因为医生告诉她孩子这种情况是食管裂孔疝,需要做手术才可以!李女士怎么也没想到孩子看似正常的吐奶居然是因为这个原因,为此李女士非常自责为什么没早点带孩子来医院。

文章插图
食管裂孔疝指的是人体内脏器官(主要是胃)通过膈食管裂空进入人体的胸腔所引发的疾病。在膈疝中这种病症最为常见,属于消化内科疾病,食管裂孔疝的病发不分年龄,可以是任何人群。病发原因也不是一种,有些人是先天性的食管发育不足,还有的是因为肌肉萎缩又或者是后天的腹腔压力过大导致以及受到创伤等。

文章插图
食管裂孔疝有不同的临床表现。首先是胃食管反流症状,即胸骨后或者剑突下有烧灼感、胃内容物上反感、上腹疼痛感等。并且疼痛感还可能放射到背部、肩部以及颈部等身体部位。其次是并发症,其中包括裂孔疝的出血现象,严重的可致贫血,并且疝入的胃和肠如果发生溃疡会造成呕血和黑便的现象,还有吞咽食物困难、疼痛以及呕吐现象。除上述以外,裂孔疝病人如果突然感觉上腹有剧烈的疼痛感并伴随呕吐,完全不能吞咽或者出现大出血情况,则提示发生急性嵌顿。
【 食管裂孔疝|爸妈要好好照顾婴儿,不然有各种问题出现,看到最后一张图明白了】

文章插图
因此各位家长在遇到宝宝吐奶的情况时,不能完全掉以轻心,要排除宝宝是否患有食管裂孔疝的病症,一旦发现异常,要立刻带宝宝去医院,希望各位家长能从李女士身上吸取教训,为宝宝健康成长创造安全的环境!
中国的剖腹产率一直居高不下,孕妇有很多原因最后选择剖腹产,有的是无法顺产,还有的是怕疼,再或者是因为其它原因。

文章插图
其实剖腹产的危害很大,很多女生还都不知道,女生一生中最多剖三次;其中间隔的时间也要很长,要给子宫恢复的时间,然而有些女生就是不当回事,在短时间内频繁的剖腹产,下面这一个例子,就是多次剖腹产后损害了自己的身体,也许你会暗暗的说:是她自己不爱惜身体,拿自己的身体开玩笑。其实不是这样的,如果知道背后原因,你肯定会觉得更加气愤。
- 新闻记者|误吞纽扣电池男孩食管烧伤发黑 这些意外伤害家长该“长点心”了!
- 食道闭锁|食管“断”两节 医生妙手“接” |区妇幼成功救治一名先天性食道闭锁患儿,并为其申请救助基金
- 胃食管反流|宝宝身体发出了这几个信号,不是天气太热了,可能是身体有炎症了!
- 医生|新生儿食管竟成两截 医生手术治疗
- 女孩|喝了一小口“水”,9岁女孩食管萎缩,影响进食近8个月
- 腹壁|当“心脏病”撞上“疝”
- 婴儿排骨卡喉,奶奶一个动作险刺穿食管,异物卡喉记得这样处理
- 山西|为什么山西人更容易患食管癌?
- 婴儿排骨卡喉家长用手抠险刺穿食管 给孩子喂食物的时候要注意什
- 喉咙痛|喉咙痛若伴有4种情况,或是食管癌的信号
