牙医|孩子换牙齿,新长的牙齿却是歪的,可能是家长这些没做好
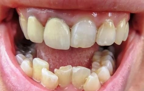
孩子换牙时期,都是一个非常激动人心的时刻。他们会为自己长大而感到自豪。但是有些家长却发现,孩子乳牙明明很直,为什么换牙后牙齿却不直呢?今天我们就来聊聊这个问题。

文章插图
孩子换牙后牙齿不直的原因孩子长出不直的恒牙是很普遍的,这由很多原因造成。1、空间不足当孩子新长出的牙齿大于颌骨的可用空间时,就会出现牙齿拥挤或弯曲的情况。爆发的牙齿将遵循阻力最小的路径。如果没有足够的空间直行,它们将旋转,重叠并弯曲。2、遗传因素新出的牙齿不直的最常见原因是。如果父母的牙齿有多余的牙齿,偏大的牙齿,也会影响孩子新长的牙齿的形象。3、孩子的习惯有些孩子有吮吸拇指,经常吐舌,乳齿过早脱落或腺样体肿大等习惯或者迹象,家长又没有及时给与纠正,所以孩子新长出的牙齿也会出现拥挤和咬合不良。

文章插图
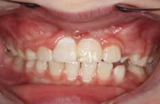
孩子牙齿不齐正常吗?牙齿拥挤或弯曲可能是儿童发育的正常部分。颚骨发育和牙齿发育可能不会以相同的速度或时间发生。恒牙和乳牙之间的尺寸差异也会导致牙齿拥挤,弯曲。随着孩子的成长,牙齿可能会更好地适合口腔。这样做,减少孩子牙齿不直的发生几率1、定期去看牙医您的孩子长出乳牙后,就必须定期去看牙医,这一点很重要。牙医不仅可以帮助确保孩子的牙齿保持清洁,还可以注意恒牙的发展。如果牙医发现有些牙齿不是笔直的,确有需要,可能要求孩子矫正牙齿。

文章插图
2、帮助孩子纠正不良习惯孩子恒牙不直,可能是由于孩子的习惯导致的。有些习惯要尽早纠正,比如两岁前一定要戒掉孩子的安抚奶嘴。三岁后,禁止孩子吮吸拇指。但是这些不良习惯,要考家长的仔细观察。家长要识别不良习惯并制定解决方案,尽早帮助孩子改变习惯,防止出现牙齿不直的现象。

文章插图
3、尽早给孩子刷牙当孩子出现乳牙的时候,家长就可以开始帮助宝宝刷牙了。使用只带有少量牙膏的婴儿牙刷,及时不能清洁每颗牙齿,也不要担心,在此阶段最重要的事情之一就是让宝宝养成每天刷牙的习惯。

文章插图
4、注意饮食糖对宝宝牙齿的危险很大。糖会导致牙齿腐烂。损害程度取决于糖的数量,消耗的频率。硬糖和甜饮料也有害,因为它们与牙齿长时间保持接触。除了减少食用这些食物外,还要让孩子多吃水果。

文章插图
孩子牙齿不直怎么办一旦家长发现孩子牙齿不直,最重要的是要看牙医,而且定期看。医生会根据孩子牙齿的状态,决定是否需要矫正,以及什么时候开始矫正和矫正的方法。最后提醒各位家长,孩子牙齿不直,可小可大,可能不直的牙齿会随着孩子的发育而自动矫正 ,也可能会影响孩子面容和发育,因此家长要重视,提前做好护齿工作,防患于未然。
- 小时候过新年穿新衣,现在新年你们会给孩子准备特别的仪式感吗?
- 父母|孩子如果出现下面几点,证明是被父母宠溺坏了,要赶紧纠正
- 宝妈|如果流露出5个迹象,父母不用藏着掖着,说明你把孩子教育的很棒
- 目标感|孩子懒惰没有目标?比定目标更重要的,是培养孩子的“目标感”
- 6岁之前,别教孩子学画画!
- 孤独症孩子语言理解能力差怎么办?几个建议帮到你
- 说话晚、咬字不清?重视孩子语言障碍,别让语言迟缓耽误孩子一生
- 孤独症孩子的11种常见问题行为(附加应对方法),家长速看
- 天使科普:这些表现是孩子智力低下的早期信号,家长可以注意了!
- 天使课堂:儿童协调能力的训练方法
