刷牙|让孩子“满嘴烂牙”的不是糖,而是“这1物”,每个人家里都有
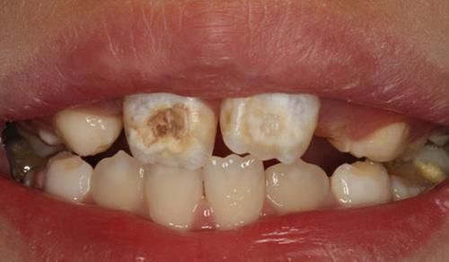
孩子长龋齿这件事相信每个家长都不陌生,一听说自己的孩子长了龋齿,第一反应就以为是孩子糖吃多了导致的。但这时候有的家长就开始喊冤了,为什么自己的孩子平时很少吃糖,自己也督促孩子早晚刷牙,为什么还是出现龋齿了呢?
其实让孩子满嘴烂牙的原因并不仅仅是因为吃糖,龋齿的形成多半是因为口腔里面的细菌太多,如果无法被及时的清理干净,这些细菌不断的在口腔里面发展壮大,导致孩子慢慢长出了龋齿。换句话说,让孩子满嘴烂牙的罪魁祸首不是糖,而是不当的清洁方式,就算孩子口腔里面的食物残渣不是糖,换成任何其他的食物也会出现龋齿。因此,作为家长一定要格外注意孩子的口腔护理,饭后以及吃过甜食之后要漱口。

文章插图
提醒:给孩子买牙膏的时候,要避开下面3种成分
1、月桂醇硫酸酯钠
月桂醇硫酸酯钠是一种石油提炼出来的表面活性剂,有很强的去污能力,价格低廉、发泡能力也很好,因此常被用在牙膏里面。虽然这种成分在牙膏里面的含量虽然是在可控范围之内的,但是多少还是会有一些刺激和伤害,尤其是对于本身牙齿就比较娇弱的孩子,最好不要使用,否则很容易蛀烂牙齿。

文章插图
2、糖精钠
糖精钠是儿童牙膏里面经常会出现的一种成分,这种成分会让牙膏散发出一种甜甜的味道,让孩子爱上刷牙。但是如果长期用这种牙膏刷牙,很容易让口腔里面滋生出来更多的微生物牙菌斑,从而让孩子更容易出现龋齿。
3、氟
氟相信大家都不陌生,它是一个很有争议性的成分,一方面氟有防蛀牙、抗牙菌斑的作用,另一方面如果长期使用含氟的牙膏刷牙,还很容易患上氟斑牙,牙齿又黄有臭,照样会长蛀牙。

文章插图
所以,想要孩子有一口洁白整齐的牙齿,少吃糖只是一方面,牙膏才是最重要的的,在给孩子买牙膏的时候,要尽量避免上面三种成分,此外如果不想要孩子的牙齿继续烂下去,下面这3点也很重要。
1、晚上一定要养成刷牙的习惯
孩子的乳牙本身就比较脆弱,钙化程度比较高,再加上孩子睡觉的时间会比较长,这个时候如果晚上不刷牙的话,牙齿很容易会受到损害。家长一定要督促孩子养成每天晚上刷牙的习惯,并且在刷牙之后就不要再吃东西了。

文章插图
2、孩子长了龋齿以后要马上去看
有的家长属于比较粗心的类型,就算孩子出现了龋齿也不会放在心上,他们往往会抱有反正乳牙都是要换的心理。其实导致龋齿出现的元凶就是细菌,如果不进行治疗,龋齿是会传染的,等到孩子满嘴都是烂牙,吃饭都成问题的时候,那时候想要再挽救就已经来不及了。再说,细菌快速的繁衍,深入孩子的牙根,还会影响孩子换牙,在一个劣质的口腔环境下,新长出来的牙也会受到影响。因此,孩子长了龋齿的话,要马上去看,不能拖。

文章插图
3、避免交叉感染
有的家长在孩子刚会吃饭的时候,担心孩子的饭菜太烫或者太硬,会先把孩子吃的食物自己先咀嚼一遍,然后再喂给孩子吃。这种做法看似是一种关爱,实际上是在害孩子。成人口腔里的细菌要远远多于孩子,如果不注意,就会把自己口腔里面的细菌传染给了孩子,让孩子早早就出现了龋齿的情况。所以,为了避免交叉感染,孩子吃饭要有自己的碗筷,不要和大人共用。
- 小时候过新年穿新衣,现在新年你们会给孩子准备特别的仪式感吗?
- 父母|孩子如果出现下面几点,证明是被父母宠溺坏了,要赶紧纠正
- 宝妈|如果流露出5个迹象,父母不用藏着掖着,说明你把孩子教育的很棒
- 目标感|孩子懒惰没有目标?比定目标更重要的,是培养孩子的“目标感”
- 6岁之前,别教孩子学画画!
- 孤独症孩子语言理解能力差怎么办?几个建议帮到你
- 说话晚、咬字不清?重视孩子语言障碍,别让语言迟缓耽误孩子一生
- 孤独症孩子的11种常见问题行为(附加应对方法),家长速看
- 天使科普:这些表现是孩子智力低下的早期信号,家长可以注意了!
- 萱萱|伺候儿媳坐月子,三方面要多忍让,是诱发“婆媳矛盾”的关键点
